Artículo
Coriocarcinoma metastásico en abdomen agudo hemorrágico- reporte de caso y relevancia del seguimiento tras embarazo molar
RESUMEN
Introducción
El coriocarcinoma, incluido en el grupo de neoplasia trofoblástica gestacional (NTG), es un tumor maligno del epitelio trofoblástico. La presentación clínica es variable. El tratamiento de la NTG depende del score de riesgo, pudiendo incluir quimioterapia con metotrexato y actinomicina D para los de bajo riesgo, y etopósido, metotrexato, actinomicina D, ciclofosfamida y vincristina (EMA/CO) para los de alto riesgo. El seguimiento se realiza con dosaje de Subunidad 𝛃 HCG (BHCG).
Presentación del Caso
Una paciente de 29 años se presenta con antecedente de embarazo molar hace 6 años se presenta con dolor abdominal tipo cólico, distensión abdominal y náuseas. La ecografía transvaginal reveló abundante cantidad de líquido en cavidad abdominal y fondo de saco de Douglas y el laboratorio hematocrito 21%, hemoglobina 7,1 mg/dl y BHCG positiva. Se realizó histerectomía de urgencia. La biopsia del tumor confirmó un coriocarcinoma y los estudios de extensión metástasis pulmonares, hepáticas y esplénicas. Se inició tratamiento quimioterápico con esquema de inducción y luego EMA/CO.
_________________________
1 Servicio de Ginecología, Clínica Pueyrredón Mar del Plata. E-mail:luisinaheredia213@gmail.com
2 Servicio de Ginecología, Clínica Pueyrredón Mar del Plata. E-mail:cantaluppi@clinicapueyrredon.com
3 Servicio de Oncología, Clínica Pueyrredón Mar del Plata. E-mail:ricrodri@copetel.com.ar
Discusión
El coriocarcinoma es un tumor maligno asociado a antecedente de embarazo molar. El caso presentado resalta la importancia del seguimiento y la consejería en estas pacientes, incluyendo controles adecuados, planificación de nuevos embarazos y detección precoz mediante ecografía temprana. Un asesoramiento apropiado habría prevenido la suspensión de anticonceptivos sin control y favorecido la consulta temprana por síntomas respiratorios.
Conclusión
El caso resalta la importancia del seguimiento en pacientes con antecedente de embarazo molar. La paciente respondió completamente al tratamiento y continúa libre de recurrencia tras 8 meses de control.
Palabras clave: coriocarcinoma - seguimiento - quimioterapia
ABSTRACT
Introduction
Choriocarcinoma, included in the gestational trophoblastic neoplasia (GTN) group, is a malignant tumor of the trophoblastic epithelium. The clinical presentation is variable. Treatment for GTN depends on the risk score and may include chemotherapy with methotrexate and actinomycin D for low-risk patients, and etoposide, methotrexate, actinomycin D, cyclophosphamide, and vincristine (EMA/CO) for high-risk patients. Follow-up is performed with β-subunit hCG (BHCG) dosing.
Case Presentation
A 29-year-old patient with a history of molar pregnancy 6 years prior presented with cramping abdominal pain, abdominal distension, and nausea. Transvaginal ultrasound revealed abundant fluid in the abdominal cavity and pouch of Douglas, and laboratory results revealed a hematocrit of 21%, hemoglobin of 7.1 mg/dL, and a positive BHCG. An emergency hysterectomy was performed. A tumor biopsy confirmed choriocarcinoma, and studies revealed metastatic spread to the lung, liver, and spleen. Chemotherapy was initiated with an induction regimen followed by EMA/CO.
Discussion
Choriocarcinoma is a malignant tumor associated with a history of molar pregnancy. The case presented highlights the importance of follow-up and counseling for these patients, including adequate monitoring, planning for new pregnancies, and early detection through ultrasound. Appropriate counseling would have prevented uncontrolled discontinuation of contraceptives and facilitated early consultation for respiratory symptoms.
Conclusion
This case highlights the importance of follow-up in patients with a history of molar pregnancy. The patient responded completely to treatment and remains recurrence-free after 8 months of follow-up.
Keywords: choriocarcinoma - follow up - chemotherapy
Fecha de recepción: 16/4/2025
Fecha de aceptación: 27/05/2025
INTRODUCCIÓN
El coriocarcinoma es un tumor maligno del epitelio trofoblástico, forma parte del grupo de patologías englobadas en la neoplasia trofoblásstica gestacional, la incidencia reportada en Europa y América del Norte es de 1 en 40000 embarazos y aumenta significativamente (3 a 9/40000) en el Sudeste asiático y Japón [i]. La mayoría se presentan luego de un embarazo molar, ectópico o aborto espontáneo.
En cuanto a sus características anatomopatológicas se presenta con invasión de músculo y vasos uterinos con columnas y láminas de tejido trofoblástico, y se caracteriza por presentar diseminación a distancia hacia pulmones, vagina, encéfalo, hígado, pelvis, bazo, intestinos y riñones.[ii]
Respecto a la presentación clínica esta puede ser variable, en aquellos casos en los que se presenta luego de embarazo molar lo hace en forma de sangrado irregular, útero aumentado de tamaño y aumento del volumen ovárico. En otros casos puede presentarse como metástasis hemorrágicas así como síntomas neurológicos o pulmonares.
La metodología diagnóstica incluye el dosaje de Subunidad 𝛃 HCG (BHCG), y debe estudiarse mediante historia clínica completa, examen físico, ecografía TV con doppler, TC de abdomen, tórax y pelvis, laboratorio con hemograma con conteo de plaquetas y estudio de función hepática, renal y tiroidea.[iii]
El tratamiento de la NTG dependerá del estadío FIGO y del score de riesgo (bajo, alto o ultra alto riesgo)[iv], se basa primeramente en terapia sistémica que será con metotrexato y actinomicina D en aquellos de bajo riesgo (score <7), y en los de alto riesgo se inicia con esquema EMA/CO (etopósido, metotrexato, actinomicina D, ciclofosfamida y vincristina). Se debe considerar en pacientes con múltiples metástasis al diagnóstico la quimioterapia (QT) de inducción a bajas dosis con etopósido y cisplatino. El tratamiento quirúrgico con histerectomía se reserva para aquellas pacientes con enfermedad de bajo riesgo sin deseos de fertilidad con el objetivo de disminuir el número de ciclos de QT requeridos, para las que tienen enfermedad quimiorresistente confinada al útero o en casos de hemorragia con requerimiento transfusional; además se puede realizar cirugía para resección de metástasis pulmonares con resistencia a QT y también craneotomía en metástasis cerebrales con hemorragia intracraneal y aumento de presión intracraneal.3,[v]
El seguimiento se debe realizar con dosaje seriado de BHCG 4 y se realiza un PET-TC al finalizar la QT. 3
PRESENTACIÓN DEL CASO
Paciente femenina de 29 años sin antecedentes familiares, con antecedente personal de embarazo molar (mola completa) hace 6 años tratada con legrado uterino evacuador, metotrexato y leucovorina y con última BHCG negativa hace 18 meses según refiere, dicho tratamiento fue instaurado en otra institución sin recuperación de más datos respecto a este antecedente y su seguimiento, se desconoce si recibió en ese momento consejería sobre anticoncepción, asimismo la paciente refería utilización de anticonceptivos orales hasta 8 meses antes de la consulta en guardia, los cuales suspendió por sus propios medios. Se presenta en nuestra institución con dolor abdominal tipo cólico localizado en epigastrio, de 15 días de evolución, que aumentó de intensidad en las 12 horas previas a la consulta, acompañándose de distensión abdominal y náuseas. El examen físico reveló palidez mucocutánea, abdomen distendido, blando, depresible, doloroso de forma generalizada, sin defensa y con leve reacción peritoneal.
Se realizó ecografía TV que informó: Útero en AVF de 60 x 39 x 20 mm. Cuello con bandas de líquido. Anexos impresionan sin imágenes patológicas. Abundante cantidad de líquido en cavidad abdominal y fondo de saco de Douglas. Se solicitó laboratorio que presentaba hemograma alterado con hematocrito 21% y hemoglobina 7,1 mg/dl, asociado a subunidad BHCG >1000 mU/ml, decidiendose la realización de una laparoscopía exploradora e inicio de protocolo de transfusión sanguínea. En la misma se encuentra cavidad abdominal con abundante contenido hemático con coágulos, en pelvis útero AVF de 7 cm aprox, rosa-pálido, liso, con formación heterogénea de 1x1 cm aprox, en cuerno izquierdo, con solución de continuidad en su superficie presentando sangrado activo, con impresión diagnóstica de embarazo ectópico cornual se decide realizar histerectomía de urgencia.
Finalizando la cirugía se recupera un valor final de subunidad BHCG de 258932,6 mU/ml. Se repite laboratorio control al día siguiente con subunidad BHCG que se mostraba en descenso con un valor de 216128 mU/ml, y luego 48hs posteriores se vuelve a solicitar encontrándose un valor de 390226 mU/ml.
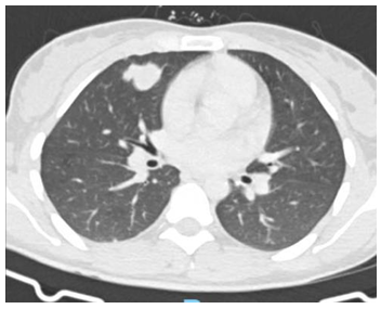
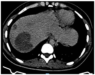
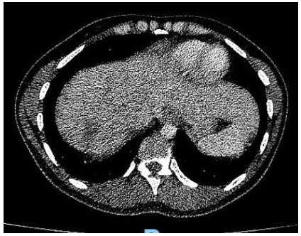
Debido a este hallazgo, con sospecha de enfermedad trofoblástica gestacional maligna se decide solicitar estudios de extensión TC tórax(Imagen 1), abdomen y pelvis(Imagen 2) en los cuales se evidencian múltiples lesiones focales en ambos campos pulmonares, destacándose por su tamaño, aquella ubicada en región anterior del campo pulmonar derecho, comprometiendo lóbulo medio y lóbulo superior, de 25mm. Sugieren valorar secundarismo. El hígado presenta múltiples lesiones focales heterogéneas, con realce con el contraste endovenoso, la mayor a nivel del segmento Vll, de 60mm, vinculables a secundarismo en primer término. Bazo de tamaño conservado, con lesión de semejantes características a las descritas en hígado, de 42mm, asimismo sugerente de secundarismo. Útero ausente en relación a los cambios descritos. Se observan aparentes engrosamientos nodulares a nivel del lecho quirúrgico, que realzan tras la administración de contraste EV y sugieren la presencia de implantes.

Imagen 1. TC tórax al diagnóstico

Imagen 2. TC abdomen (corte a nivel superior) al diagnóstico
Se recibe el informe de la anatomía patológica que describe en útero tumor de 4,8cm de tipo histológico coriocarcinoma con invasión linfovascular presente.
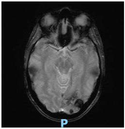
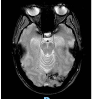
Posteriormente se solicita interconsulta al Servicio de Oncología y se realiza RMN de cerebro (Imagen 3) descartándose secundarismo en este órgano (se informó área de aspecto secuelar con depósitos de hemosiderina en secuencia de gradiente a nivel de la corteza occipital izquierda. La misma no presenta áreas de restricción o realces tras la administración de contraste ev.)
Imagen 3. RMN de cerebro al diagnóstico
Una vez realizado el diagnóstico se reinterroga a la paciente, encontrando al interrogatorio dirigido que había presentado síntomas respiratorios (tos con hemoptisis) 5 meses previos a la consulta, por lo que concurrió a un servicio de urgencias y realizó tratamiento con antibiótico (ATB). Debido a la persistencia de sus síntomas durante 1 mes luego del tratamiento ATB, se había solicitado TC de tórax que evidenciaba imágenes nodulares con mínimo vidrio esmerilado adyacente (signo del halo) en ambos campos pulmonares, la mayor de 2,5 x 2,4 cm en segmento medial del lóbulo medio, a valorar con antecedentes y clínica y si bien son de aspecto infeccioso y/o inflamatorio se sugiere su control post tratamiento. La paciente había realizado un control posterior en el cual no le solicitaron TC control debido a mejoría de los síntomas, según refiere.
En cuanto a la estratificación de riesgo es debido a la presencia de extensas metástasis, y de acuerdo a lo recomendado por la bibliografía en estos casos 1, que se inicia de forma inmediata con tratamiento quimioterápico de inducción con cisplatino + etopósido: 2 ciclos semanales (día 1 y 2) y luego se inicia esquema EMA-CO (día 1, 2 y 8 cada 2 semanas).
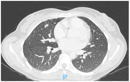
Al mes de iniciado el tratamiento se realiza primer control con subunidad BHCG con un resultado de 202 mU/ml y al finalizar el mismo se encuentra un resultado de 3 mU/ml, una vez alcanzado este valor se realiza el mantenimiento con mismo esquema quimioterápico durante 1 mes, y se repite el dosaje de BHCG con un valor de 1 mU/ml. Además se solicitaron nuevos estudios por imágenes en base a las recomendaciones: TC tórax(Imagen 4), abdomen y pelvis(Imagen 5), y RMN de cerebro(Imagen 6) (no pudiéndose solicitar PET-TC debido a falta de cobertura por la obra social), en los mismos se encontró marcada disminución de tamaño de las imágenes nodulares en ambos campos pulmonares, imágenes focales hepáticas hipovasculares, correspondientes a imágenes secuelares e hipodensidad subcapsular esplénica de aspecto isquémico secuelar. En la RMN se informa alteración de la señal temporo-occipital izquierda de aspecto secuelar, probablemente en relación a restos de hemosiderina.

Imagen 4. TC tórax post-tto

Imagen 5. TC abdomen (corte a nivel superior) post-tto

Imagen 6. RMN de cerebro post-tto.
En cuanto al seguimiento se realizó con dosajes de BHCG de acuerdo a lo recomendado en las guías de referencia 4, se solicitaron BHCG semanales durante el primer mes, con valores de 2 mU/ml, 2 mU/ml, 3 mU/ml y 4 mU/ml, luego se redujo la frecuencia de dosajes, realizándose 2 en el segundo mes, con valores de 4 mU/ml y 1 mU/ml, en el mes de marzo y abril se registraron valores de 2 mU/ml, 1 mU/ml, los últimos controles presentaron un resultado de 1 mU/ml en el mes de junio y de 2 mU/ml en el mes de agosto del corriente año. El total de los dosajes mencionados desde la consulta de la paciente hasta el último control descrito se realizaron en el mismo laboratorio de nuestra institución mediante el método de electroquimioluminiscencia. Se planea continuar con el seguimiento con BHCG mensual hasta 18 meses posteriores desde la normalización de este valor.
DISCUSIÓN
El coriocarcinoma es un tumor maligno que requiere un tratamiento agresivo y multidisciplinario. La paciente que presentamos en este caso tenía antecedentes de embarazo molar tratado con legrado uterino evacuador y quimioterapia, lo que aumentó su riesgo de desarrollar coriocarcinoma, de acuerdo a lo descrito en la literatura el antecedente de embarazo molar es un factor que aumenta entre 10 a 20 veces (0.6%–2% vs. 0,1% en población general) el riesgo de tener otro embarazo de este tipo, y dependiendo el tipo de mola el riesgo posterior de desarrollar una neoplasia trofoblástica gestacional, que es del 15-20% para la mola completa y del 0,5-1% para la parcial.1,4 Esto destaca la importancia de realizar seguimiento y consejería en este grupo de pacientes, respecto a los controles a realizar y la forma de abordar un nuevo embarazo. Un asesoramiento adecuado hubiera prevenido la suspensión sin seguimiento médico de los anticonceptivos orales en nuestra paciente, pudiendo indicar realizar una ecografía temprana en caso de embarazo para la detección precoz de esta patología 4 y hubiera alertado a la paciente por los síntomas respiratorios presentados 5 meses antes del diagnóstico, es por esto que se debe realizar un énfasis en el acompañamiento de estas pacientes.
CONCLUSIÓN
El caso destaca la importancia de la vigilancia y el seguimiento en pacientes con antecedentes de embarazo molar. La paciente presentada en este caso tuvo una respuesta completa al tratamiento y se encuentra sin recurrencias hasta los 8 meses de seguimiento.
Bibliografía
[i] Ngan, Hextan Y. S., et al. «Diagnosis and Management of Gestational Trophoblastic Disease: 2021 Update». International Journal of Gynecology & Obstetrics, vol. 155, n.o S1, octubre de 2021, pp. 86-93. DOI.org (Crossref), https://doi.org/10.1002/ijgo.13877
[ii] Tratamiento de la enfermedad trofoblástica de la gestación (PDQ®)–Versión para profesionales de salud. (2024, August 29). National Cancer Institute. Retrieved September 18, 2025, from https://www.cancer.gov/espanol/tipos/trofoblastico-gestacion/pro/tratamiento-etg-pdq
[iii] Gestational Trophoblastic Neoplasia - Guidelines Detail. (n.d.). NCCN. Retrieved September 18, 2025, from https://www.nccn.org/guidelines/guidelines-detail?category=1&id=1489
[iv] CONSENSO FASGO “ENFERMEDAD TROFOBLASTICA GESTACIONAL”. (n.d.). fasgo. Retrieved September 18, 2025, from https://www.fasgo.org.ar/archivos/consensos/CONSENSO_FASGO_ETG.pdf
[v] Goldstein, D. P., & Berkowitz, R. S. (2023). Gestational trophoblastic disease: Epidemiology, pathology, clinical presentation, and diagnosis. En J. E. Aronson (Ed.), UpToDate. Wolters Kluwer. DOI: 10.1016/j.ajog.2010.06.073